Pancreatitis can induce a severe systemic inflammatory response, so early aggressive intravenous (IV) fluids, pain control (often with IV narcotics), antiemetics, and initial bowel rest are critical to initial treatment.
Diagnosis Overview:
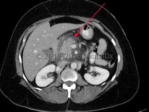
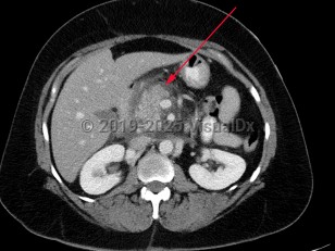
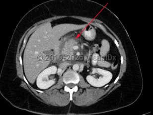
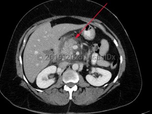
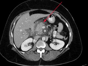
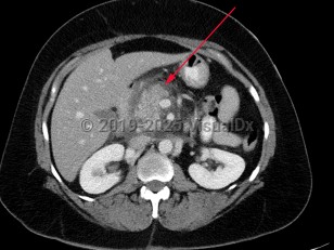
Acute pancreatitis is an acute inflammatory process of the pancreas characterized by the sudden onset of severe abdominal pain, most commonly epigastric in location, often with associated radiation of pain to the back. Nausea and vomiting are common associated symptoms.
Acute pancreatitis is the leading cause of gastrointestinal-related hospitalization in the United States, and rates are increasing both in the United States and worldwide.
Etiology:
In the United States, the most common causes of acute pancreatitis are gallstones and chronic alcohol consumption, identified in up to 70% of cases.
Certain medications can predispose to gallstone formation, increasing the risk of gallstone pancreatitis.
Some drugs can cause direct pancreatic injury, resulting in drug-induced pancreatitis. These drugs include common medications such as angiotensin-converting enzyme (ACE) inhibitors, statins, diuretics, antiretrovirals, valproic acid, and various oral hypoglycemic agents.
Iatrogenic sources are an increasing etiology of pancreatitis, particularly postendoscopic retrograde cholangiopancreatography (ERCP).
Certain genetic mutations (eg, cystic fibrosis, alpha-1 antitrypsin deficiency, hereditary hypertriglyceridemia) and autoimmune diseases can also cause pancreatitis, although these make up a small subset of the overall cases of pancreatitis.
Hypertriglyceridemia, which is often hereditary, is a less common cause of pancreatitis. Generally, to cause pancreatitis, triglyceride levels exceed 1000 mc/dL, but triglyceride-induced pancreatitis can be seen at lower levels as well.
Additional rare causes of pancreatitis include trauma, hypercalcemia, hemodialysis, parasitic (eg, Ascaris lumbricoides), bacterial (eg, Campylobacter), and viral (eg, coxsackie) infections, certain toxins, and vasculitis. Lastly, obstructive causes include malignancies, strictures, and cystic lesions.
A classically used mnemonic to remember most of the potential causes of pancreatitis:
I GET SMASHED
- Idiopathic
- Gallstones
- Ethanol
- Trauma
- Steroid use
- Mumps (viral)
- Autoimmune
- Scorpion stings
- Hypertriglyceridemia / hypercalcemia
- ERCP
- Drugs / medications
Prevalence is highest among daily alcohol drinkers and patients with a high predisposition for gallstone formation. Risk factors for gallstone pancreatitis include female sex, advanced age (fourth decade of life and beyond), high serum triglycerides, obesity, and pregnancy.
The incidence of acute pancreatitis is 110-140 per 100 000 in the United States. It is most common in the fifth decade of life (40-50 years of age).
History and Physical Examination:
Patients often present in distress, with associated tachycardia, tachypnea, and constant, rapid-onset abdominal pain, most commonly reported as midline epigastric abdominal tenderness. Nausea and vomiting are often reported as well. Patients with developing necrotizing pancreatitis may note fevers and chills.
Risk factors such as a history of smoking, alcohol use disorder, the use of certain medications, and a prior episode of pancreatitis and/or gallstones should be noted.
Patients with gallstone pancreatitis may have concurrent choledocholithiasis or biliary colic and may have a history and examination consistent with such processes, including right upper quadrant (RUQ) pain and jaundice in addition to epigastric pain radiating to the back.
Related topics: chronic pancreatitis, pancreatic panniculitis

Patient Information for