Thymoma
Alerts and Notices
Important News & Links
Synopsis
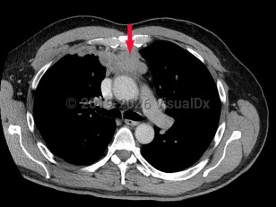
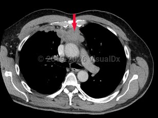
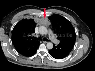
Rare tumor of the thymus, arising in the anterior mediastinum from thymic epithelial cells and lymphocytes. Mostly benign, but with a malignant and metastatic form. Onset is typically in the fifth and sixth decade; it rarely occurs in children. Associated disorders include myasthenia gravis (30%), pure red cell aplasia, hypogammaglobulinemia (Good syndrome), and other systemic diseases. Associated with autoimmune disease in approximately 40% of diagnosed adults. Signs and symptoms associated with tumor growth include neck mass, dyspnea, cough, chest pain, and muscle weakness.
Management aligns with clinical staging, according to the Masaoka system or the newer WHO classification. Treatment includes surgery, radiation, and chemotherapy.
Management aligns with clinical staging, according to the Masaoka system or the newer WHO classification. Treatment includes surgery, radiation, and chemotherapy.
Codes
ICD10CM:
C37 – Malignant neoplasm of thymus
D15.0 – Benign neoplasm of thymus
SNOMEDCT:
444231005 – Thymoma
C37 – Malignant neoplasm of thymus
D15.0 – Benign neoplasm of thymus
SNOMEDCT:
444231005 – Thymoma
Best Tests
Subscription Required
References
Subscription Required
Last Updated:06/15/2016
Thymoma
