Potentially life-threatening emergency
Brain abscess
Alerts and Notices
Important News & Links
Synopsis
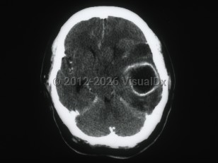
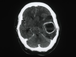
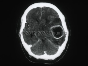
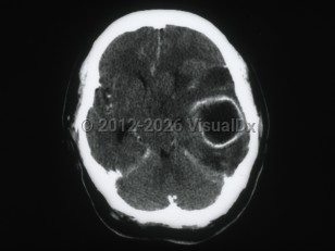
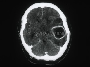
Brain abscess is a focal intracerebral infection that begins with inflammation and progresses to a localized collection of pus. Bacteria, followed by fungi and parasites, most commonly cause it. Infection may be introduced hematogenously (bacteremia, fungemia), from contiguous areas (dental, sinus and ear infections, meningitis), via trauma, or by iatrogenic route (invasive neurosurgical procedures). In about 15% of cases, no source is identifiable.
Etiology:
Bacterial – The most commonly isolated organisms, streptococci (70%), are found in the normal oral flora. Mixed infections are seen in 30%-60% of cases. Infections with staphylococci may be seen after trauma, invasive procedures, or surgery and in patients with bacteremia. Gram-negative rods are less commonly involved. Brain abscess due to Listeria is rare and has a mortality of around 50%. Nocardia is more commonly seen in immunocompromised hosts (transplant, human immunodeficiency virus [HIV] infection, etc). Tuberculosis can produce brain abscesses in immunocompetent or immunocompromised individuals.
Fungal – Candida spp. are seen most commonly in autopsy studies. Scedosporium spp. can cause brain abscesses in both normal and immunocompromised hosts. Aspergillus spp. and mucormycosis are rare and are typically seen in immunocompromised patients. Cryptococcus spp., Coccidioides spp., Histoplasma, Blastomyces, Rhizopus oryzae, and dematiaceous fungi have also been described as causes of brain abscesses.
Parasitic – Toxoplasma is the most common, usually in immunocompromised hosts, due to reactivation of disease. Neurocysticercosis is commonly seen in developing countries, and lesions may mimic abscesses. Entamoeba spp., Schistosoma spp., and Paragonimus spp. have also been described.
Pathophysiology:
Infection can be introduced via blood, from contiguous sites, or through trauma or surgery. Early cerebritis sets in following an inflammatory cell response (days 1-3), necrosis (days 4-9), and development of a collagen capsule (days 10-14).
Demographics:
The median age is 30-40 years with a 3:1 male predominance. Twenty-five percent of cases occur in children. Brain abscess is extremely rare in children younger than 2 years of age. However, a brain abscess can develop in any age group depending on the predisposing condition. Overall mortality rate ranges from 8%-25% but can be higher depending on the organism, location of the abscess, and immune status of the patient. Predisposing factors include otitis media, mastoiditis, sinusitis, dental infections, trauma, neurological procedures, bacteremia, (endocarditis, lung abscess), congenital heart disease (with shunt physiology), and immunosuppression or immunodeficiency (neutropenia, medications, HIV infection).
Symptoms:
Clinical features depend on the size and location of the lesion and vary from indolent to fulminant. Headache is the most common symptom. Rapid deterioration in mental status may suggest intraventricular rupture of the brain abscess. Less than 50% of patients present with the classical triad of headache, fever, and a focal neurological deficit. Clinical signs and symptoms in the immunocompromised host may be concealed due to lack of inflammatory response. A brain abscess due to Aspergillus spp. can commonly present with a stroke and often involves other organ systems. Other findings include altered mental status (confusion, lethargy, coma), nausea / vomiting, personality changes, and papilledema, and seizures may occur.
Etiology:
Bacterial – The most commonly isolated organisms, streptococci (70%), are found in the normal oral flora. Mixed infections are seen in 30%-60% of cases. Infections with staphylococci may be seen after trauma, invasive procedures, or surgery and in patients with bacteremia. Gram-negative rods are less commonly involved. Brain abscess due to Listeria is rare and has a mortality of around 50%. Nocardia is more commonly seen in immunocompromised hosts (transplant, human immunodeficiency virus [HIV] infection, etc). Tuberculosis can produce brain abscesses in immunocompetent or immunocompromised individuals.
Fungal – Candida spp. are seen most commonly in autopsy studies. Scedosporium spp. can cause brain abscesses in both normal and immunocompromised hosts. Aspergillus spp. and mucormycosis are rare and are typically seen in immunocompromised patients. Cryptococcus spp., Coccidioides spp., Histoplasma, Blastomyces, Rhizopus oryzae, and dematiaceous fungi have also been described as causes of brain abscesses.
Parasitic – Toxoplasma is the most common, usually in immunocompromised hosts, due to reactivation of disease. Neurocysticercosis is commonly seen in developing countries, and lesions may mimic abscesses. Entamoeba spp., Schistosoma spp., and Paragonimus spp. have also been described.
Pathophysiology:
Infection can be introduced via blood, from contiguous sites, or through trauma or surgery. Early cerebritis sets in following an inflammatory cell response (days 1-3), necrosis (days 4-9), and development of a collagen capsule (days 10-14).
Demographics:
The median age is 30-40 years with a 3:1 male predominance. Twenty-five percent of cases occur in children. Brain abscess is extremely rare in children younger than 2 years of age. However, a brain abscess can develop in any age group depending on the predisposing condition. Overall mortality rate ranges from 8%-25% but can be higher depending on the organism, location of the abscess, and immune status of the patient. Predisposing factors include otitis media, mastoiditis, sinusitis, dental infections, trauma, neurological procedures, bacteremia, (endocarditis, lung abscess), congenital heart disease (with shunt physiology), and immunosuppression or immunodeficiency (neutropenia, medications, HIV infection).
Symptoms:
Clinical features depend on the size and location of the lesion and vary from indolent to fulminant. Headache is the most common symptom. Rapid deterioration in mental status may suggest intraventricular rupture of the brain abscess. Less than 50% of patients present with the classical triad of headache, fever, and a focal neurological deficit. Clinical signs and symptoms in the immunocompromised host may be concealed due to lack of inflammatory response. A brain abscess due to Aspergillus spp. can commonly present with a stroke and often involves other organ systems. Other findings include altered mental status (confusion, lethargy, coma), nausea / vomiting, personality changes, and papilledema, and seizures may occur.
Codes
ICD10CM:
G06.0 – Intracranial abscess and granuloma
SNOMEDCT:
441806004 – Abscess of brain
G06.0 – Intracranial abscess and granuloma
SNOMEDCT:
441806004 – Abscess of brain
Look For
Subscription Required
Diagnostic Pearls
Subscription Required
Differential Diagnosis & Pitfalls
To perform a comparison, select diagnoses from the classic differential
Subscription Required
Best Tests
Subscription Required
Management Pearls
Subscription Required
Therapy
Subscription Required
References
Subscription Required
Last Updated:04/14/2020
