Renal cell carcinoma
Alerts and Notices
Important News & Links
Synopsis
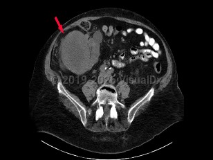
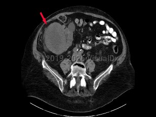
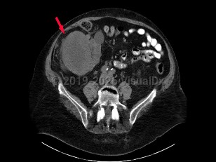
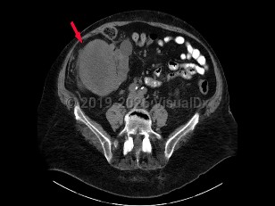
Renal cell carcinoma (RCC) accounts for the majority of malignant neoplasms arising from the kidney. RCC is often asymptomatic until significant disease advancement, with 1 in 4 patients having advanced local disease or distant metastasis at presentation. Peak incidence is between the ages of 50 and 70 years, with a male-to-female ratio of 2:1. Risk factors for development of RCC include cigarette smoking, acquired cystic disease of the kidney, hypertension, obesity, occupational exposure (asbestos, cadmium, lead, petrochemicals), and von Hippel-Lindau syndrome.
The most common type of RCC is clear cell carcinoma, accounting for 75% of cases. Other categories include bilateral and multifocal papillary tumors (10%), chromophobe tumors (5%), benign oncocytomas (3%-7%), and rare but aggressive Bellini duct tumors (< 1%). Hereditary leiomyomatosis and renal cell cancer (HLRCC) is a disorder that causes benign tumors of smooth muscle in the skin and uterus. It increases the risk of papillary RCC at an early age and should be considered in those with family history of RCC.
Clinical presentation includes hematuria, abdominal pain, flank mass or abdominal mass, fever, weight loss, anemia, or varicocele. Many patients have tumors discovered incidentally with abdominal imaging performed for another reason.
Paraneoplastic manifestations of RCC include hypercalcemia, production of adrenocorticotrophic hormone, polycythemia, hepatic dysfunction, thrombocytosis, secondary AA amyloidosis, fever, and weight loss in 20% of individuals.
Mortality from RCC has been declining due to earlier detection.
The most common type of RCC is clear cell carcinoma, accounting for 75% of cases. Other categories include bilateral and multifocal papillary tumors (10%), chromophobe tumors (5%), benign oncocytomas (3%-7%), and rare but aggressive Bellini duct tumors (< 1%). Hereditary leiomyomatosis and renal cell cancer (HLRCC) is a disorder that causes benign tumors of smooth muscle in the skin and uterus. It increases the risk of papillary RCC at an early age and should be considered in those with family history of RCC.
Clinical presentation includes hematuria, abdominal pain, flank mass or abdominal mass, fever, weight loss, anemia, or varicocele. Many patients have tumors discovered incidentally with abdominal imaging performed for another reason.
Paraneoplastic manifestations of RCC include hypercalcemia, production of adrenocorticotrophic hormone, polycythemia, hepatic dysfunction, thrombocytosis, secondary AA amyloidosis, fever, and weight loss in 20% of individuals.
Mortality from RCC has been declining due to earlier detection.
Codes
ICD10CM:
C64.9 – Malignant neoplasm of unspecified kidney, except renal pelvis
SNOMEDCT:
702391001 – Renal cell carcinoma
C64.9 – Malignant neoplasm of unspecified kidney, except renal pelvis
SNOMEDCT:
702391001 – Renal cell carcinoma
Look For
Subscription Required
Diagnostic Pearls
Subscription Required
Differential Diagnosis & Pitfalls
To perform a comparison, select diagnoses from the classic differential
Subscription Required
Best Tests
Subscription Required
Management Pearls
Subscription Required
Therapy
Subscription Required
References
Subscription Required
Last Reviewed:06/19/2019
Last Updated:06/20/2019
Last Updated:06/20/2019
Renal cell carcinoma
