Contents

SynopsisCodesLook ForDiagnostic PearlsDifferential Diagnosis & PitfallsBest TestsManagement PearlsTherapyDrug Reaction DataReferences

View all Images (14)

Pulmonary nocardiosis
Other Resources UpToDate PubMed

Pulmonary nocardiosis

Contributors: Susan Voci MD, Sumanth Rajagopal MD, William Bonnez MD
Other Resources UpToDate PubMed

Synopsis

Nocardia species are saprophytic aerobic actinomycetes, gram-positive bacteria occurring worldwide in the soil, organic matter, and water. They cause cutaneous, respiratory, and disseminated diseases. Patients with altered host defenses are particularly at risk for nocardiosis as they represent about two-thirds of the reported cases. They include patients with chronic lung diseases, on chronic corticosteroids, with hematologic malignancies, or with AIDS, as well as organ transplant recipients.

Human infection can arise after cutaneous inoculation or by inhalation. Nocardia brasiliensis is a well-known cause of cutaneous disease and is common in the southern United States, Central and South America, and Australia. Nocardia asteroides is the species most commonly associated with invasive disease.

Pulmonary disease can present as pneumonia, a lung abscess, a cavitary lesion, or an empyema that can extend to the chest wall. Pulmonary infections are usually subacute and chronic, manifesting with a variety of radiologic manifestations. An acute fulminant pneumonia may occur. Pulmonary nocardiosis is frequently difficult to diagnose and diagnosis is often delayed. Symptoms include purulent cough, pleuritic chest pain, and fever. Hemoptysis occasionally occurs.

Nocardiosis can also rarely disseminate to the skin, causing nonspecific lesions. Cutaneous inoculation of a superficial skin break results in a self-limited pyogenic skin infection such as impetigo, furuncles, carbuncles, cellulitis, and cutaneous abscesses. A rare lymphocutaneous form of the disease resembles sporotrichosis. Occasionally, cutaneous nocardiosis can result in a chronic, progressive, locally destructive mass lesion called "mycetoma" with formation of sinus tracts. Central nervous system (CNS) involvement is an important complication in the immunocompromised host and can present as a brain abscess. Rarely, bone, joints, heart, kidneys, and the eyes are involved. Bacteremia is very uncommon.

Related topic: cutaneous nocardiosis

Codes

ICD10CM:
A43.0 – Pulmonary nocardiosis

SNOMEDCT:
2087000 – Pulmonary nocardiosis

Look For

Subscription Required

Diagnostic Pearls

Subscription Required

Differential Diagnosis & Pitfalls

To perform a comparison, select diagnoses from the classic differential

Subscription Required

Best Tests

Subscription Required

Management Pearls

Subscription Required

Therapy

Subscription Required

Drug Reaction Data

Subscription Required

References

Subscription Required

Last Updated:07/12/2020
Copyright © 2026 VisualDx®. All rights reserved.
Pulmonary nocardiosis
A medical illustration showing key findings of Pulmonary nocardiosis : Fever, Pleuritic chest pain, Productive cough, Dyspnea
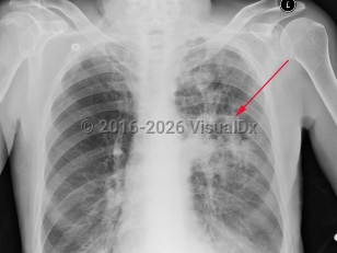
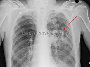
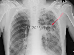
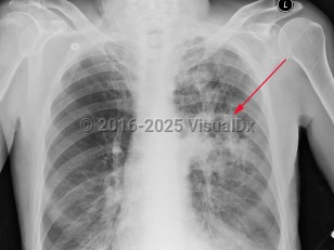
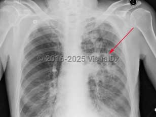
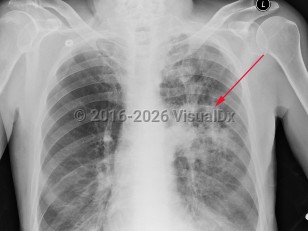
Imaging Studies image of Pulmonary nocardiosis - imageId=2955336. Click to open in gallery.  caption: 'Frontal chest x-ray with ill-defined cavitary opacity in the left upper lobe.'
Frontal chest x-ray with ill-defined cavitary opacity in the left upper lobe.
Copyright © 2026 VisualDx®. All rights reserved.