Emergency: requires immediate attention
Varicella pneumonia in Adult
Alerts and Notices
Important News & Links
Synopsis
The varicella-zoster virus (VZV) is a one of the human herpesviruses and is the etiologic agent of chickenpox and shingles (herpes zoster). Varicella pneumonia is a life-threatening complication of initial infection with VZV or reactivation of VZV.
Spread of VZV to the lungs is thought to occur hematogenously.
Varicella pneumonia is estimated to occur in fewer than 1% of cases of chickenpox. Varicella pneumonia is seen in children, but it is much more common in adults. Immunocompromised patients, including transplant recipients and pregnant individuals, are at increased risk. Of note, studies of healthy adults with VZV infection have shown that abnormal chest x-rays are not uncommon, and many patients may not have respiratory symptoms (clinically asymptomatic pneumonitis is possible, but an abnormal chest x-ray should not be disregarded in an immunocompromised patient).
Patients typically develop the rash characteristic of chickenpox or shingles. Within one week, they present with respiratory symptoms. Symptoms may include cough, shortness of breath, tachypnea, or hemoptysis. Occasionally, respiratory symptoms may precede development of the rash (and very rarely, patients may not have any rash).
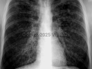
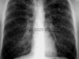
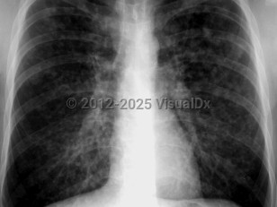
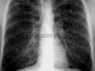
Chest radiograph changes that can be seen include interstitial changes and nodular infiltrates.
In immunocompromised patients who present with shingles, skin lesions in multiple dermatomes should alert the physician to the possibility of disseminated infection (including possibly pneumonia). One report of renal transplant recipients noted that gastrointestinal and neurologic symptoms may be present on admission. Rash was absent in 2 patients. Other visceral involvement included hepatitis, pancreatitis, and neurological involvement. Many patients developed disseminated intravascular coagulation. Mortality was high.
The time it takes to recover from varicella pneumonia varies. Immunocompromised patients may be hospitalized for many days or weeks.
Related topic: community-acquired pneumonia
Spread of VZV to the lungs is thought to occur hematogenously.
Varicella pneumonia is estimated to occur in fewer than 1% of cases of chickenpox. Varicella pneumonia is seen in children, but it is much more common in adults. Immunocompromised patients, including transplant recipients and pregnant individuals, are at increased risk. Of note, studies of healthy adults with VZV infection have shown that abnormal chest x-rays are not uncommon, and many patients may not have respiratory symptoms (clinically asymptomatic pneumonitis is possible, but an abnormal chest x-ray should not be disregarded in an immunocompromised patient).
Patients typically develop the rash characteristic of chickenpox or shingles. Within one week, they present with respiratory symptoms. Symptoms may include cough, shortness of breath, tachypnea, or hemoptysis. Occasionally, respiratory symptoms may precede development of the rash (and very rarely, patients may not have any rash).
Chest radiograph changes that can be seen include interstitial changes and nodular infiltrates.
In immunocompromised patients who present with shingles, skin lesions in multiple dermatomes should alert the physician to the possibility of disseminated infection (including possibly pneumonia). One report of renal transplant recipients noted that gastrointestinal and neurologic symptoms may be present on admission. Rash was absent in 2 patients. Other visceral involvement included hepatitis, pancreatitis, and neurological involvement. Many patients developed disseminated intravascular coagulation. Mortality was high.
The time it takes to recover from varicella pneumonia varies. Immunocompromised patients may be hospitalized for many days or weeks.
Related topic: community-acquired pneumonia
Codes
ICD10CM:
B01.2 – Varicella pneumonia
SNOMEDCT:
195911009 – Chickenpox pneumonia
B01.2 – Varicella pneumonia
SNOMEDCT:
195911009 – Chickenpox pneumonia
Look For
Subscription Required
Diagnostic Pearls
Subscription Required
Differential Diagnosis & Pitfalls
To perform a comparison, select diagnoses from the classic differential
Subscription Required
Best Tests
Subscription Required
Management Pearls
Subscription Required
Therapy
Subscription Required
References
Subscription Required
Last Updated:08/04/2021
Emergency: requires immediate attention
Varicella pneumonia in Adult
