Intraabdominal abscess
Alerts and Notices
Important News & Links
Synopsis
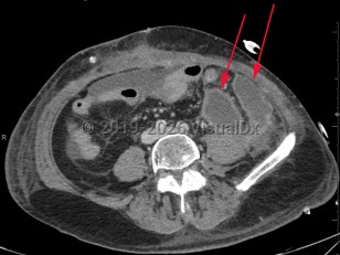
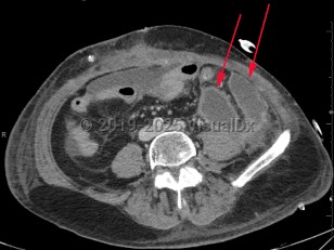
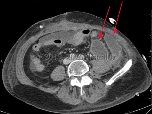
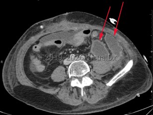
A collection of pus located inside the abdominal cavity that forms as a result of inoculation of one or more pathogens into a normally sterile intraabdominal location.
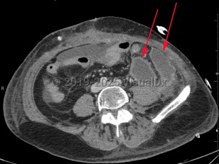
The clinical presentation is varied and depends on the location of the abscess in the intraabdominal cavity. Vague abdominal discomfort is common, and pain may localize to a site of intraabdominal inflammation (in the patient with diverticulitis, for example). Fever and leukocytosis are also seen. The clinician should be mindful that patients who are immunosuppressed may have very mild and nonspecific symptoms. Patients who have a spinal cord injury or altered mental status may be similarly difficult to diagnose.
Patients who suffer from diverticulitis, inflammatory bowel disease (eg, ulcerative colitis, Crohn disease), or conditions that may lead to intestinal obstruction and subsequent perforation are at risk for intraabdominal abscesses. Also, patients who have penetrating trauma to the abdomen or undergo a surgical procedure involving intraabdominal or pelvic organs are at risk for this condition.
The clinical presentation is varied and depends on the location of the abscess in the intraabdominal cavity. Vague abdominal discomfort is common, and pain may localize to a site of intraabdominal inflammation (in the patient with diverticulitis, for example). Fever and leukocytosis are also seen. The clinician should be mindful that patients who are immunosuppressed may have very mild and nonspecific symptoms. Patients who have a spinal cord injury or altered mental status may be similarly difficult to diagnose.
Patients who suffer from diverticulitis, inflammatory bowel disease (eg, ulcerative colitis, Crohn disease), or conditions that may lead to intestinal obstruction and subsequent perforation are at risk for intraabdominal abscesses. Also, patients who have penetrating trauma to the abdomen or undergo a surgical procedure involving intraabdominal or pelvic organs are at risk for this condition.
Codes
ICD10CM:
K65.1 – Peritoneal abscess
SNOMEDCT:
75100008 – Abdominal abscess
K65.1 – Peritoneal abscess
SNOMEDCT:
75100008 – Abdominal abscess
Look For
Subscription Required
Diagnostic Pearls
Subscription Required
Differential Diagnosis & Pitfalls
To perform a comparison, select diagnoses from the classic differential
Subscription Required
Best Tests
Subscription Required
Management Pearls
Subscription Required
Therapy
Subscription Required
References
Subscription Required
Last Updated:07/22/2025
Intraabdominal abscess
