Paragonimiasis
Alerts and Notices
Important News & Links
Synopsis
Paragonimiasis is a vector-borne parasitic infection caused by trematodes of the genus Paragonimus (commonly known as lung flukes). It is endemic to parts of Asia, Africa, and Central and South America, with rare cases reported in North America. While more than 40 species are recognized as parasites of mammals, only 8 cause significant human infections. Paragonimus westermani is the most important species affecting humans and is endemic to East Asia, Paragonimus mexicanus infection occurs in Central and South America, and Paragonimus kellicott has been reported in North America.
Humans are infected on ingestion of parasites in raw or undercooked freshwater crabs or crayfish, or uncooked wild boar meat. The flukes then traverse the intestinal wall into the peritoneal cavity. Within 2-3 weeks after the initial ingestion, the parasites migrate through the diaphragm into the pleural space and/or lungs as well as other organs, including the central nervous system and skin.
Children and adults of all ages are affected by paragonimiasis.
Typical symptoms of acute paragonimiasis include fever, abdominal pain, and diarrhea within 2-15 days of ingesting undercooked or raw crustaceans. Urticaria and eosinophilia may also occur in this early phase.
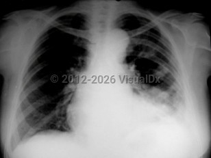
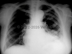
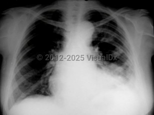
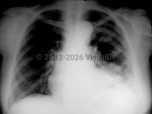
On migration of flukes into the lungs, patients can experience fevers, cough productive of brownish sputum, and occasionally hemoptysis as early signs of chronic pulmonary infection. Profuse expectoration, pleuritic chest pain, dyspnea, chronic cough, and intermittent hemoptysis collectively comprise symptoms of chronic pleuropulmonary paragonimiasis (typically 6 months after exposure).
A commonly identified form of ectopic paragonimiasis involves parasite migration into the brain (typically causes meningoencephalitis or neurological deficits / seizures due to space occupying lesions / cysts, typically 12-16 months after exposure). Migration into the skin (subcutaneous nodular migratory mass lesion with or without associated pruritus, hyperpigmentation) has also been reported.
Humans are infected on ingestion of parasites in raw or undercooked freshwater crabs or crayfish, or uncooked wild boar meat. The flukes then traverse the intestinal wall into the peritoneal cavity. Within 2-3 weeks after the initial ingestion, the parasites migrate through the diaphragm into the pleural space and/or lungs as well as other organs, including the central nervous system and skin.
Children and adults of all ages are affected by paragonimiasis.
Typical symptoms of acute paragonimiasis include fever, abdominal pain, and diarrhea within 2-15 days of ingesting undercooked or raw crustaceans. Urticaria and eosinophilia may also occur in this early phase.
On migration of flukes into the lungs, patients can experience fevers, cough productive of brownish sputum, and occasionally hemoptysis as early signs of chronic pulmonary infection. Profuse expectoration, pleuritic chest pain, dyspnea, chronic cough, and intermittent hemoptysis collectively comprise symptoms of chronic pleuropulmonary paragonimiasis (typically 6 months after exposure).
A commonly identified form of ectopic paragonimiasis involves parasite migration into the brain (typically causes meningoencephalitis or neurological deficits / seizures due to space occupying lesions / cysts, typically 12-16 months after exposure). Migration into the skin (subcutaneous nodular migratory mass lesion with or without associated pruritus, hyperpigmentation) has also been reported.
Codes
ICD10CM:
B66.4 – Paragonimiasis
SNOMEDCT:
30369007 – Infection by Paragonimus
B66.4 – Paragonimiasis
SNOMEDCT:
30369007 – Infection by Paragonimus
Look For
Subscription Required
Diagnostic Pearls
Subscription Required
Differential Diagnosis & Pitfalls
To perform a comparison, select diagnoses from the classic differential
Subscription Required
Best Tests
Subscription Required
Management Pearls
Subscription Required
Therapy
Subscription Required
References
Subscription Required
Last Updated:02/27/2025
