Contents

SynopsisCodesLook ForDiagnostic PearlsDifferential Diagnosis & PitfallsBest TestsManagement PearlsTherapyDrug Reaction DataReferences

View all Images (13)

Bronchiolitis obliterans
Other Resources UpToDate PubMed

Bronchiolitis obliterans

Contributors: Abhijeet Waghray MD, Mary Anne Morgan MD, Paritosh Prasad MD
Other Resources UpToDate PubMed

Synopsis

Bronchiolitis obliterans is a condition marked by diffuse lung damage that can affect both infants and adults and immunocompetent and immunocompromised patients. It is characterized by injury to the small airways (bronchioles) resulting in progressive narrowing of bronchial lumens. Causes include inhalation injury (eg, chlorine, ammonia, diacetyl), infection (eg, adenovirus, influenza, parainfluenza, respiratory syncytial virus), medications (eg, rituximab, sulfasalazine), toxic fumes (eg, silos, welders, military), and graft-versus-host disease following bone marrow or rejection following lung transplantation. Bronchiolitis obliterans may also been seen in the setting of autoimmune diseases like rheumatoid arthritis.

Diacetyl is a flavoring compound often used in e-cigarettes / vape pens. Its former use in factories manufacturing microwave popcorn was associated with diagnoses of bronchiolitis obliterans, thus sometimes known as "popcorn lung."

The clinical syndrome manifests as an airway obstruction, cough, and slowly progressive dyspnea (weeks to months), with radiographic examination showing normal or hyperinflation of the lungs. Tachypnea, crackles, and/or wheezing may be evident on physical examination.

Related topic: Bronchiolitis

Codes

ICD10CM:
J42 – Unspecified chronic bronchitis

SNOMEDCT:
40100001 – Obliterative bronchiolitis

Look For

Subscription Required

Diagnostic Pearls

Subscription Required

Differential Diagnosis & Pitfalls

To perform a comparison, select diagnoses from the classic differential

Subscription Required

Best Tests

Subscription Required

Management Pearls

Subscription Required

Therapy

Subscription Required

Drug Reaction Data

Subscription Required

References

Subscription Required

Last Reviewed:03/18/2018
Last Updated:01/26/2022
Copyright © 2026 VisualDx®. All rights reserved.
Bronchiolitis obliterans
A medical illustration showing key findings of Bronchiolitis obliterans : Exertional dyspnea, Patchy consolidation, Wheezing, Dry cough, Hypoxia
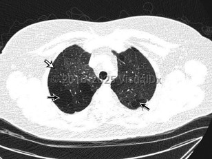
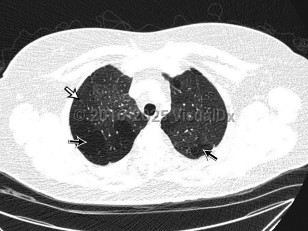
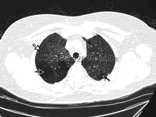
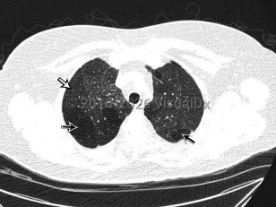
Imaging Studies image of Bronchiolitis obliterans - imageId=8347118. Click to open in gallery.  caption: '<span>Axial 0.90mm slice thickness  non-contrast CT image of the chest viewed in lung windows in the upper  chest. Axial CT image of the chest demonstrates mosaic attenuation  throughout both lungs, with geographic areas of decreased attenuation  (straight black arrows) and decreased vascularity (straight white  arrow).</span>'
Axial 0.90mm slice thickness non-contrast CT image of the chest viewed in lung windows in the upper chest. Axial CT image of the chest demonstrates mosaic attenuation throughout both lungs, with geographic areas of decreased attenuation (straight black arrows) and decreased vascularity (straight white arrow).
Copyright © 2026 VisualDx®. All rights reserved.