Contents

SynopsisCodesLook ForDiagnostic PearlsDifferential Diagnosis & PitfallsBest TestsManagement PearlsTherapyDrug Reaction DataReferences

View all Images (2)

Uterine fibroids
Other Resources UpToDate PubMed

Uterine fibroids

Contributors: Mitchell Linder MD
Other Resources UpToDate PubMed

Synopsis

Uterine fibroids, or leiomyomas, are benign growths that can appear in any of the layers of the uterus (endometrium, myometrium, serosa). They are hormonally influenced and therefore occur in women of reproductive age. They can range in size from less than a centimeter up to 20 cm or more. Often, patients will have multiple fibroids at one time, but they can be solitary.

Incidence can be as high as 70%-80% of women. Ultrasonography studies have shown that incidence is higher in Black than White women, and that they occur at an earlier age in Black women.

Fibroids are often asymptomatic and may be only first noted incidentally on imaging done for other reasons, but patients can also present with abnormal bleeding, infertility, painful intercourse, constipation, increased pelvic or bladder pressure, urinary frequency, or rectal pressure.

Codes

ICD10CM:
D25.9 – Leiomyoma of uterus, unspecified

SNOMEDCT:
95315005 – Uterine leiomyoma

Look For

Subscription Required

Diagnostic Pearls

Subscription Required

Differential Diagnosis & Pitfalls

To perform a comparison, select diagnoses from the classic differential

Subscription Required

Best Tests

Subscription Required

Management Pearls

Subscription Required

Therapy

Subscription Required

Drug Reaction Data

Subscription Required

References

Subscription Required

Last Reviewed:03/08/2025
Last Updated:03/09/2025
Copyright © 2026 VisualDx®. All rights reserved.
Uterine fibroids
A medical illustration showing key findings of Uterine fibroids : Pelvic pain, Urinary frequency, Vaginal bleeding, Pelvic mass, Dysmenorrhea, Menorrhagia
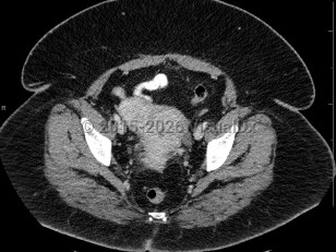
Imaging Studies image of Uterine fibroids - imageId=6844736. Click to open in gallery.  caption: '<span>Axial CT image demonstrates an exophytic fibroid arising from the uterus. </span>'
Axial CT image demonstrates an exophytic fibroid arising from the uterus.
Copyright © 2026 VisualDx®. All rights reserved.