Contents

SynopsisCodesDifferential Diagnosis & PitfallsBest TestsReferences

View all Images (2)

Potentially life-threatening emergency
Cerebellar contusion
Other Resources UpToDate PubMed
Potentially life-threatening emergency

Cerebellar contusion

Contributors: Richard L. Barbano MD, PhD
Other Resources UpToDate PubMed

Synopsis

A traumatic injury to the cerebellum occurring when there is forceful contact with the occipital area and surrounding cranium, particularly bony ridges, leading to cerebellar edema and/or punctate hemorrhages. Characterized by dizziness, drowsiness, dysarthria, ataxia, loss of consciousness, and coma. Other signs and symptoms include fatigue, malaise, nystagmus, vertigo, and mydriasis. Associated with basilar skull fracture, cerebellar hemorrhage, traumatic hematoma, subarachnoid hemorrhage, and traumatic brain injury.

Management includes careful assessment and monitoring of symptoms and level of consciousness, mindful that there can be delayed deterioration after cerebellar contusion, which increases risk for complications and death following brain trauma. Wide craniectomy and internal decompression may be advised.

Codes

ICD10CM:
S06.370A – Contusion, laceration, and hemorrhage of cerebellum without loss of consciousness, initial encounter

SNOMEDCT:
127304009 – Cerebellar Contusion

Differential Diagnosis & Pitfalls

To perform a comparison, select diagnoses from the classic differential

Subscription Required

Best Tests

Subscription Required

References

Subscription Required

Last Updated:03/12/2018
Copyright © 2026 VisualDx®. All rights reserved.
Potentially life-threatening emergency
Cerebellar contusion
A medical illustration showing key findings of Cerebellar contusion : Dizziness, Ataxia, Coma, Dysarthria, Loss of consciousness, Drowsiness
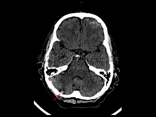
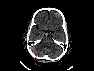
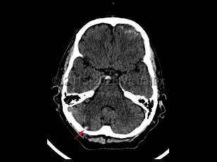
Imaging Studies image of Cerebellar contusion - imageId=7872512. Click to open in gallery.  caption: '<span>Axial CT image demonstrates a  focal hyperdensity in the right cerebellum with surrounding edema in  this patient with history of trauma. Findings were consistent with  cerebellar contusion.</span>'
Axial CT image demonstrates a focal hyperdensity in the right cerebellum with surrounding edema in this patient with history of trauma. Findings were consistent with cerebellar contusion.
Copyright © 2026 VisualDx®. All rights reserved.