Contents

SynopsisCodesLook ForDiagnostic PearlsDifferential Diagnosis & PitfallsBest TestsManagement PearlsTherapyReferences

View all Images (4)

Teratoma of ovary
Other Resources UpToDate PubMed

Teratoma of ovary

Contributors: Jennifer Black MD, Carla Casulo MD, Mitchell Linder MD
Other Resources UpToDate PubMed

Synopsis

Teratoma of the ovary is a teratoma that may be cystic. It is composed entirely of well differentiated, adult-type tissues, without evidence of fetal-type tissues. It is almost always benign. See ovarian cysts for information on functional and other ovarian cysts.

Codes

ICD10CM:
D27.9 – Benign neoplasm of unspecified ovary

SNOMEDCT:
716077006 – Teratoma of ovary

Look For

Subscription Required

Diagnostic Pearls

Subscription Required

Differential Diagnosis & Pitfalls

To perform a comparison, select diagnoses from the classic differential

Subscription Required

Best Tests

Subscription Required

Management Pearls

Subscription Required

Therapy

Subscription Required

References

Subscription Required

Last Reviewed:09/28/2017
Last Updated:10/08/2017
Copyright © 2026 VisualDx®. All rights reserved.
Teratoma of ovary
A medical illustration showing key findings of Teratoma of ovary : Abdominal pain, Pelvic pain, Vaginal bleeding, Pelvic mass, Adnexal mass on pelvic exam
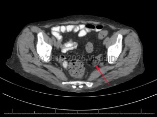
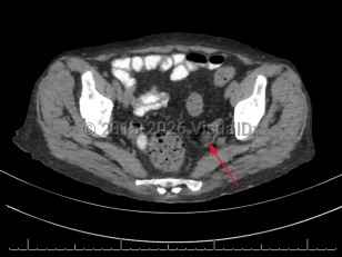
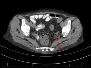
Imaging Studies image of Teratoma of ovary - imageId=7878204. Click to open in gallery.  caption: '<span>Axial CT demonstrating a fat-containing left adnexal lesion (arrow), consistent with a mature cystic teratoma.</span>'
Axial CT demonstrating a fat-containing left adnexal lesion (arrow), consistent with a mature cystic teratoma.
Copyright © 2026 VisualDx®. All rights reserved.