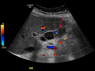
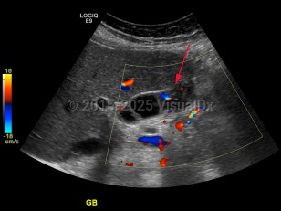
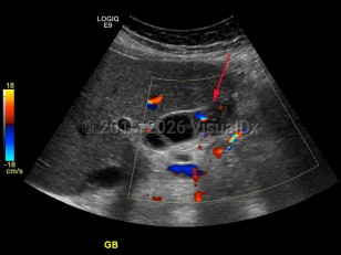
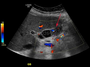
Gallbladder carcinoma
Alerts and Notices
Important News & Links
Synopsis
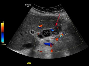
Gallbladder cancer is rare in the United States, with 1-2 cases per 100 000 population. It is most common in patients in their sixth to seventh decade, with a female predominance. In the United States, it is most common in individuals of Hispanic and American Indian descent. Risk factors for development of gallbladder cancer are related to chronic gallbladder inflammation and include gallstone disease, porcelain gallbladder, gallbladder polyps, abnormalities in the choledochopancreatic junction, and chronic infections with Salmonella typhi and Helicobacter pylori.
Gallbladder cancer is often diagnosed in the following ways: malignancy found at the time of cholecystectomy, malignancy incidentally diagnosed on pathologic examination after simple cholecystectomy (approximately 50% of patients), malignancy suspected preoperatively because of symptoms, and malignancy found incidentally on imaging performed for another purpose.
Patients may be asymptomatic at the time of presentation or demonstrate nonspecific findings, including right upper quadrant pain. They may have typical symptoms of cholelithiasis in early disease or with advanced disease, and may present with anorexia, weight loss, and vomiting. Ninety percent of gallbladder neoplasms are adenocarcinoma with the remainder adenosquamous, squamous cell carcinoma, small cell neuroendocrine tumors, lymphoma, and sarcoma. Papillary carcinomas have the most favorable prognosis while adenocarcinomas may extend outside of the gallbladder and invade the liver as they grow. Prognosis is dependent on histologic type and the extent of invasive carcinomatous disease.
Gallbladder cancer is often diagnosed in the following ways: malignancy found at the time of cholecystectomy, malignancy incidentally diagnosed on pathologic examination after simple cholecystectomy (approximately 50% of patients), malignancy suspected preoperatively because of symptoms, and malignancy found incidentally on imaging performed for another purpose.
Patients may be asymptomatic at the time of presentation or demonstrate nonspecific findings, including right upper quadrant pain. They may have typical symptoms of cholelithiasis in early disease or with advanced disease, and may present with anorexia, weight loss, and vomiting. Ninety percent of gallbladder neoplasms are adenocarcinoma with the remainder adenosquamous, squamous cell carcinoma, small cell neuroendocrine tumors, lymphoma, and sarcoma. Papillary carcinomas have the most favorable prognosis while adenocarcinomas may extend outside of the gallbladder and invade the liver as they grow. Prognosis is dependent on histologic type and the extent of invasive carcinomatous disease.
Codes
ICD10CM:
C23 – Malignant neoplasm of gallbladder
SNOMEDCT:
372140005 – Carcinoma of gallbladder
C23 – Malignant neoplasm of gallbladder
SNOMEDCT:
372140005 – Carcinoma of gallbladder
Look For
Subscription Required
Diagnostic Pearls
Subscription Required
Differential Diagnosis & Pitfalls
To perform a comparison, select diagnoses from the classic differential
Subscription Required
Best Tests
Subscription Required
Management Pearls
Subscription Required
Therapy
Subscription Required
References
Subscription Required
Last Reviewed:12/12/2017
Last Updated:08/20/2025
Last Updated:08/20/2025
Gallbladder carcinoma
