Contents

SynopsisCodesDifferential Diagnosis & PitfallsBest TestsReferences

View all Images (3)

Renal artery stenosis
Other Resources UpToDate PubMed

Renal artery stenosis

Contributors: Catherine Moore MD
Other Resources UpToDate PubMed

Synopsis

Renal artery stenosis is narrowing or blockage of renal artery / arteries. Causes include atherosclerosis, fibromuscular dysplasia, thrombosis, embolism, or external pressure. Reduced renal perfusion can lead to renovascular hypertension as well as acute or chronic kidney injury.

Typically, affected patients will have a normal urinalysis. If both renal arteries are involved (as is more commonly seen with atheromatous disease), progressive renal impairment is observed, often with significant fluctuations in glomerular filtration rate dependent upon volume status.

Affected patients often have particular sensitivity to angiotensin-converting enzyme inhibitor therapy, with (usually reversible) acute kidney injury evident on medication initiation. Severe hypertension with episodes of flash pulmonary edema may be seen with unilateral or bilateral disease.

Codes

ICD10CM:
I70.1 – Atherosclerosis of renal artery

SNOMEDCT:
302233006 – Renal artery stenosis

Differential Diagnosis & Pitfalls

To perform a comparison, select diagnoses from the classic differential

Subscription Required

Best Tests

Subscription Required

References

Subscription Required

Last Updated:05/12/2019
Copyright © 2026 VisualDx®. All rights reserved.
Renal artery stenosis
A medical illustration showing key findings of Renal artery stenosis : BP increased, K decreased
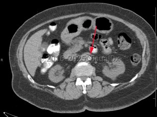
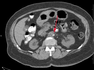
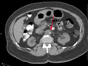
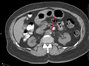
Imaging Studies image of Renal artery stenosis - imageId=8361094. Click to open in gallery.  caption: '<span>Axial image from unenhanced CT scan of the abdomen demonstrating dense calcifications at the take off of the left renal artery, consistent with severe stenosis.</span>'
Axial image from unenhanced CT scan of the abdomen demonstrating dense calcifications at the take off of the left renal artery, consistent with severe stenosis.
Copyright © 2026 VisualDx®. All rights reserved.