Achilles tendinosis / tendinopathy is tendon thickening in the region approximately 2-6 cm proximal to tendon insertion and is thought to be caused by poor blood supply and anaerobic degeneration of the cartilage.
Insertional Achilles tendonitis is pain and tendon thickening at insertion of the Achilles tendon, wherein repetitive trauma leads to inflammation followed by cartilaginous, bony metaplasia.
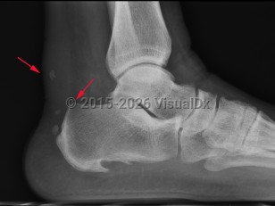
Haglund deformity is enlargement of the posterosuperior tuberosity of calcaneus. Retrocalcaneal bursitis is inflammation of the space between the anterior aspect of Achilles tendon and posterior aspect of calcaneus.
Middle-aged or elderly patients are more likely to present with insertional Achilles tendonitis. Young, active patients are more likely to present with Haglund deformity or retrocalcaneal bursitis, which are often components of Achilles tendonitis.
Predisposing factors include overuse, imbalance of dorsiflexors / plantar flexors, use of fluoroquinolones, genetic predisposition, history of an inflammatory arthropathy (eg, gout), and poor tendon blood supply.
In addition to heel pain, history and physical examination findings may include:
- Pain that worsens with activity, running
- Shoe wear pain due to direct pressure
- Pain with palpation (at insertion site of Achilles tendon if insertional tendonitis; there may be more fullness off to sides of tendon if retrocalcaneal bursitis and more proximal if Achilles tendinopathy)
- Bony prominence at Achilles insertion

Patient Information for