Tricuspid atresia
Alerts and Notices
Important News & Links
Synopsis
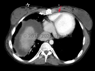
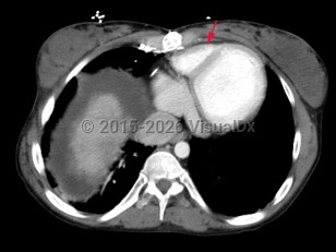
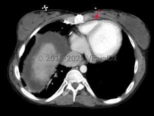
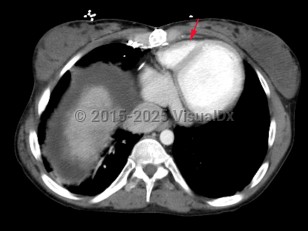
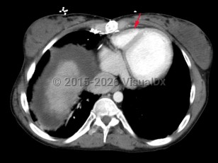
Congenital lack of tricuspid valve formation resulting in cyanosis and a murmur. An atrial septal defect, hypoplastic right ventricle, and ventricular septal defect are generally present. Other congenital lesions such as transposition of the great arteries may also be present. About half of cases present with cyanosis and a murmur on the day of birth. An additional 30% are diagnosed in the first month. With advances in fetal ultrasound, tricuspid atresia can be diagnosed on antenatal screening at 18-22 weeks gestation. If untreated, mortality is very high with 1-year survival estimated at 10%.
Codes
ICD10CM:
Q22.4 – Congenital tricuspid stenosis
SNOMEDCT:
63042009 – Congenital atresia of tricuspid valve
Q22.4 – Congenital tricuspid stenosis
SNOMEDCT:
63042009 – Congenital atresia of tricuspid valve
Differential Diagnosis & Pitfalls
To perform a comparison, select diagnoses from the classic differential
Subscription Required
Best Tests
Subscription Required
References
Subscription Required
Last Updated:01/25/2022
Tricuspid atresia
