Search Results
DDx Strength: Weak
Anemia, Alopecia, 50-59 year old Female

Edit Findings
HypothyroidismHypothyroidism
Hyperthyroidism
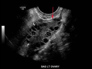
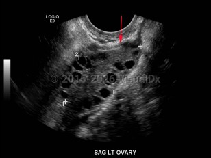
Polycystic ovarian syndromePolycystic ovarian syndrome
Chronic graft-versus-host diseaseChronic graft-versus-host disease
Copper deficiency
Selenium deficiency
Boric acid toxicity
Type II polyglandular autoimmune syndrome
Congenital erythropoietic porphyriaCongenital erythropoietic porphyria
SarcoidosisSarcoidosis
Systemic lupus erythematosusSystemic lupus erythematosus
Lupus panniculitisLupus panniculitis
Mixed connective tissue disease
Addison diseaseAddison disease
Anorexia nervosaAnorexia nervosa
LeprosyLeprosy
Thyroid storm
Down syndromeDown syndrome
Johanson-Blizzard syndrome
Acute radiation syndromeAcute radiation syndrome
Type III polyglandular autoimmune syndrome
Dyskeratosis congenitaDyskeratosis congenita
Leprosy-Lucio phenomenonLeprosy-Lucio phenomenon
Postpartum hypopituitarism
ScurvyScurvy
Short bowel syndrome
Vitamin A deficiencyVitamin A deficiency
African trypanosomiasis
Common variable immunodeficiency
Erythrodermic psoriasisErythrodermic psoriasis
Iodine deficiency
Chronic kidney diseaseChronic kidney disease
Cystic fibrosis nutrient deficiency dermatitis
Crohn disease
Lassa fever
Iron deficiency anemiaIron deficiency anemia
Krukenberg tumor
Hypervitaminosis A
Fabry diseaseFabry disease
Bezoar
DermatomyositisDermatomyositis
Toxic epidermal necrolysis-like lupus erythematosus
Arsenic poisoningArsenic poisoning
Hepatoerythropoietic porphyria
Colonic polypsColonic polyps
Food allergy
Restless legs syndrome
Acute myeloid leukemiaAcute myeloid leukemia
Alpha thalassemiaAlpha thalassemia
Beta thalassemia
Chronic myeloid leukemiaChronic myeloid leukemia
GI bleeding
Hereditary nonpolyposis colorectal cancer
Vitamin B12 deficiencyVitamin B12 deficiency
Biliary calculus
Celiac disease
Cervical cancer
Enterohemorrhagic Escherichia coli infection
Folate deficiency
Glucose-6-phosphate dehydrogenase deficiency