Search Results
DDx Strength: Weak
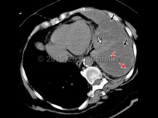
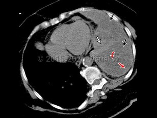
Chest pain, Cough, 50-59 year old Female

Edit Findings
Acute chest syndrome
Acute bronchitis
Gastroesophageal reflux disease
Acute exacerbation of asthma
Spontaneous pneumothoraxSpontaneous pneumothorax
Pneumonic plaguePneumonic plague
Chronic obstructive pulmonary diseaseChronic obstructive pulmonary disease
Common cold
InfluenzaInfluenza
Chronic bronchitis
Bronchioloalveolar adenocarcinoma
Lung cancerLung cancer
Community-acquired pneumonia
Foreign body aspiration
LegionellosisLegionellosis
Post-COVID conditions
Pulmonary edema
Pulmonary embolismPulmonary embolism
SarcoidosisSarcoidosis
Allergic bronchopulmonary aspergillosis
Aspiration pneumonia
Pneumothorax
Respiratory syncytial virus infectionRespiratory syncytial virus infection
Viral pneumonia
Bronchial carcinoid tumorBronchial carcinoid tumor
Malignant mesothelioma
Bronchiectasis
Bronchocentric granulomatosis
Chronic eosinophilic pneumonia
Croup
EVALI
Acute eosinophilic pneumoniaAcute eosinophilic pneumonia
Acute respiratory distress syndromeAcute respiratory distress syndrome
Bronchopleural fistula
Cryptogenic organizing pneumoniaCryptogenic organizing pneumonia
Drug-induced pneumonitis
Foreign body in esophagus
Avian influenzaAvian influenza
BerylliosisBerylliosis
Endometriosis of lung
Psittacosis
Anaphylaxis
Congestive heart failureCongestive heart failure
COVID-19
Acute coronary syndrome
Costochondritis
Esophageal motility disorder
Gastric acid aspiration
Hospital-acquired pneumonia
Pleural effusionPleural effusion
Respiratory failure
Synthetic cannabinoid poisoning
Aspirin-exacerbated respiratory disease
Cocaine intoxication and use disorder
Echovirus infectionEchovirus infection
EndocarditisEndocarditis
Hypertensive emergency
Pericardial effusionPericardial effusion
Sjögren syndromeSjögren syndrome
Thoracic aortic aneurysmThoracic aortic aneurysm