Search Results
DDx Strength: Weak
Chest pain, Pleural effusion, 50-59 year old Female

Edit Findings
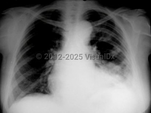
Pleural effusionPleural effusion
Hemothorax
Bronchopleural fistula
Pulmonary empyema
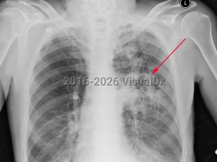
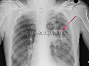
Lung cancerLung cancer
TuberculosisTuberculosis
Lung abscess
Malignant mesothelioma
Penetrating atherosclerotic ulcer
Spontaneous rupture of esophagus
Pulmonary contusion
Pneumonic plaguePneumonic plague
Congestive heart failureCongestive heart failure
Pulmonary edema
Aspiration pneumonia
Community-acquired pneumonia
Dilated cardiomyopathyDilated cardiomyopathy
Hospital-acquired pneumonia
LegionellosisLegionellosis
Pericardial effusionPericardial effusion
Viral pneumonia
Pulmonary embolismPulmonary embolism
Bronchial carcinoid tumorBronchial carcinoid tumor
BrucellosisBrucellosis
CoccidioidomycosisCoccidioidomycosis
CryptococcosisCryptococcosis
Drug-induced heart failure
EVALI
Mycobacterium kansasii infection
Rhodococcus equi infectionRhodococcus equi infection
Acute eosinophilic pneumoniaAcute eosinophilic pneumonia
Chronic eosinophilic pneumonia
Drug-induced pneumonitis
Pleurisy
Pneumoconiosis
Pulmonary nocardiosisPulmonary nocardiosis
Radiation pneumonitis
Varicella pneumoniaVaricella pneumonia
Acute coronary syndrome
Costochondritis
Extrinsic allergic alveolitisExtrinsic allergic alveolitis
Inhalational anthraxInhalational anthrax
Adult-onset Still diseaseAdult-onset Still disease
Desquamative interstitial pneumonia
Epidemic pleurodynia
Fascioliasis
Lemierre syndrome
ParagonimiasisParagonimiasis
Pulmonary agent poisoning
TularemiaTularemia
Aortic dissectionAortic dissection
Sickle cell acute pain crisis
Multisystem inflammatory syndrome in adults
Aortic intramural hematoma
Acute chest syndrome
Drug-induced chest pain
Mitral regurgitation
Acute pancreatitis
ActinomycosisActinomycosis
Mixed connective tissue disease