Search Results
DDx Strength: Weak
Low back pain, Constipation, 50-59 year old Female

Edit Findings
Fecal impaction
Spinal epidural abscess
Generalized anxiety disorder
Transverse myelitis
Uterine fibroidsUterine fibroids
Uterovaginal prolapse
Axial low back pain
Lumbar radiculopathy
Parkinson disease
Pelvic floor dyssynergia
Pancreatic carcinomaPancreatic carcinoma
Rectal carcinomaRectal carcinoma
Spinal cord compression
Cauda equina syndrome
Osteoporotic vertebral compression fracture
Spondylolysis
Addison diseaseAddison disease
Lymphocytic choriomeningitis
Somatic symptom and related disorders
Ankylosing spondylitis
Spondylolisthesis
Rectocele
Retroperitoneal fibrosis
Tethered cord
NeuroblastomaNeuroblastoma
Hereditary sensory and autonomic neuropathies
PoliomyelitisPoliomyelitis
Colon cancerColon cancer
Diverticular disease
EndometriosisEndometriosis
Lambert-Eaton myasthenic syndrome
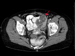
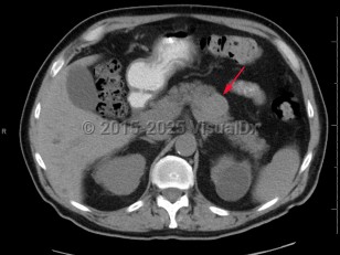
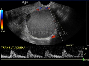
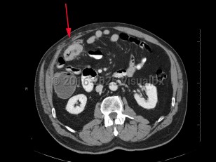
Ovarian cancerOvarian cancer
Synthetic cannabinoid poisoning
Ulcerative colitis
Lumbar spinal stenosis
Urinary tract infection
Lymphogranuloma venereumLymphogranuloma venereum
Variegate porphyriaVariegate porphyria
Bowel perforationBowel perforation
BrucellosisBrucellosis
Pyelonephritis
Sacroiliitis
Morvan syndrome
Hereditary coproporphyriaHereditary coproporphyria
Chordoma
Chronic inflammatory demyelinating polyneuropathy
Familial Mediterranean feverFamilial Mediterranean fever
Neuromyelitis optica spectrum disorder
Psoas abscess
Tuberculous spondylitis
MeningoceleMeningocele
Crohn disease
Duodenal ulcer
Psoriatic arthritisPsoriatic arthritis
Cystitis
GoutGout
Herpes zosterHerpes zoster
Hydronephrosis
Postherpetic neuralgia
Renal calculus