Search Results
DDx Strength: Weak
Low back pain, Hip pain, 50-59 year old Female

Edit Findings
Lumbar radiculopathy
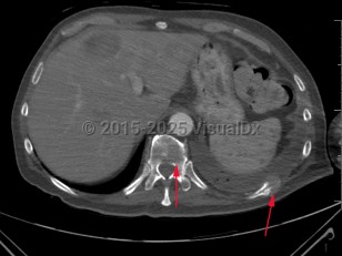
Osteoporotic vertebral compression fracture
Ankylosing spondylitis
Traumatic hip dislocation
Reactive arthritisReactive arthritis
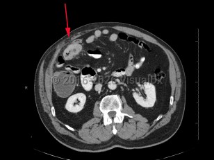
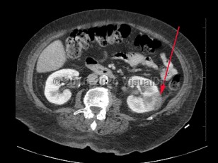
Psoas abscess
Psoriatic arthritisPsoriatic arthritis
Herpes zosterHerpes zoster
Osteoarthritis
Traumatic neuromaTraumatic neuroma
Axial low back pain
Leg length discrepancy
Osteomyelitis
Osteoporosis
Sickle cell acute pain crisis
Cauda equina syndrome
Spondylolysis
Retroperitoneal abscess
PyomyositisPyomyositis
Spondylolisthesis
Langerhans cell histiocytosisLangerhans cell histiocytosis
NeuroblastomaNeuroblastoma
Aneurysmal bone cyst
Eosinophilic granuloma of bone
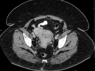
Sacroiliitis
Colon cancerColon cancer
Tendonitis
Polymyalgia rheumatica
EndometriosisEndometriosis
Lumbar spinal stenosis
Urinary tract infection
Chondrosarcoma
Diffuse tenosynovial giant cell tumor
Disseminated herpes zoster
Intramuscular lipoma
Osteoid osteoma
Pathologic fracture
Pyelonephritis
Fibrous dysplasia
Spinal epidural abscess
Tuberculous spondylitis
Piriformis syndrome
Sacral fracture
Retroperitoneal fibrosis
Lyme diseaseLyme disease
Cystitis
Generalized anxiety disorder
GoutGout
Hydronephrosis
Postherpetic neuralgia
Renal calculus
Transverse myelitis
Uterine fibroidsUterine fibroids
Uterovaginal prolapse
Cat-scratch disease
Cavernous hemangiomaCavernous hemangioma
CoccidioidomycosisCoccidioidomycosis
HemochromatosisHemochromatosis
Polycystic kidney diseasePolycystic kidney disease
Abdominal aortic aneurysmAbdominal aortic aneurysm