Search Results
DDx Strength: Weak
Low back pain, Nausea, 50-59 year old Female

Edit Findings
Axial low back pain
Lumbar radiculopathy
Urinary tract infection
EndometriosisEndometriosis
Pyelonephritis
Addison diseaseAddison disease
Somatic symptom and related disorders
Yellow fever
Psoas abscess
Spinal epidural abscess
Generalized anxiety disorder
Hydronephrosis
Renal calculus
Acute kidney injury
Ovarian cancerOvarian cancer
Pancreatic carcinomaPancreatic carcinoma
Salpingitis
Abdominal aortic aneurysmAbdominal aortic aneurysm
Aortic dissectionAortic dissection
Biliary calculus
Fecal impaction
Parkinson disease
Pelvic inflammatory disease
Cauda equina syndrome
Osteoporotic vertebral compression fracture
Spondylolysis
Adrenal crisis
Dengue feverDengue fever
EhrlichiosisEhrlichiosis
Leptospirosis
Lymphocytic choriomeningitis
Paraspinal abscessParaspinal abscess
Renal infarctionRenal infarction
Renal vein thrombosis
Retroperitoneal abscess
Endometritis
Lassa fever
Multiple myelomaMultiple myeloma
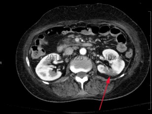
Perinephric abscessPerinephric abscess
PyomyositisPyomyositis
Renal nutcracker syndrome
Secondary syphilisSecondary syphilis
West Nile virusWest Nile virus
Ankylosing spondylitis
Spondylolisthesis
Stibine poisoning
Argentine hemorrhagic fever
Carcinomatous meningitis
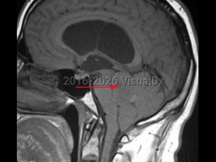
EpendymomaEpendymoma
Hemorrhagic fever with renal syndrome
Adrenal hemorrhage
Mansonella ozzardi infection
NeurocysticercosisNeurocysticercosis
Preeclampsia
Retroperitoneal cystic lymphangioma
Coronary artery disease
Subarachnoid hemorrhageSubarachnoid hemorrhage
Diverticular disease
Ureteral calculus
Duodenal ulcer