Contents

SynopsisCodesLook ForDiagnostic PearlsDifferential Diagnosis & PitfallsBest TestsManagement PearlsTherapyDrug Reaction DataReferences

View all Images (5)

Chronic pancreatitis
Other Resources UpToDate PubMed

Chronic pancreatitis

Contributors: Michael W. Winter MD, Christine Osborne MD, Khaled Bittar MD, Nishant H. Patel MD, Desiree Rivera-Nieves MD
Other Resources UpToDate PubMed

Synopsis

Chronic pancreatitis is characterized by chronic, irreversible damage to the pancreas, leading to endocrine and exocrine dysfunction. This loss of pancreatic function often results in a constellation of symptoms, namely epigastric pain with radiation to the back. Pain patterns are categorized into 3 types: type A involves intermittent but severe attacks with or without pancreatitis, typically early in the course of disease; type B includes persistent chronic pain between intermittent severe attacks; and type C involves chronic, debilitating pain without severe attacks. Malabsorption due to pancreatic insufficiency, steatorrhea, and diabetes mellitus also occur, and weight loss may be common.

Risk factors for chronic pancreatitis include alcohol use, smoking, and genetic mutations. Alcohol use disorder, cystic fibrosis, autoimmune pancreatitis (see IgG4-related disease), and chronic biliary ductal obstruction are among the most common etiologies. Autoimmune pancreatitis is a rare, chronic disease with varied presentation, often mimicking pancreatic malignancy, making diagnosis challenging. Autoantibodies in the pancreas cause inflammation and enlargement. The most common genetic mutations implicated in the pathogenesis of chronic pancreatitis are cystic fibrosis transmembrane conductance regulator (CFTR), serine protease inhibitor Kazal type 1 (SPINK1), and chymotrypsin C (CTC).

Chronic pancreatitis is most common in men, and it is more common in Black individuals than White individuals.

A juvenile form, tropical chronic pancreatitis (TCP), is a nonalcoholic calcific pancreatitis of uncertain etiology seen in tropical regions of the world that affects children and young adults; TCP can lead to fibrocalculous pancreatic diabetes and pancreatic cancer.

The diagnosis of chronic pancreatitis can be challenging and relies on a combination of symptomatology, histologic, radiographic, and endoscopic findings. There is no single gold standard test to confirm the diagnosis. Some patients present with recurrent episodes of epigastric abdominal pain and pancreatic enzyme elevation, while others can present with asymptomatic diabetes mellitus and be found to have chronic pancreatitis. Regardless of the predisposing medical condition precipitating the development of chronic pancreatitis, radiographically, pancreatic atrophy and calcification with a dilated pancreatic duct are often but not always seen. Histologically, pancreatic fibrosis, duct distortion, and intra-ductal calcification are often but not always appreciated.

Related topics: acute pancreatitis, pancreatic panniculitis

Codes

ICD10CM:
K86.1 – Other chronic pancreatitis

SNOMEDCT:
235494005 – Chronic pancreatitis

Look For

Subscription Required

Diagnostic Pearls

Subscription Required

Differential Diagnosis & Pitfalls

To perform a comparison, select diagnoses from the classic differential

Subscription Required

Best Tests

Subscription Required

Management Pearls

Subscription Required

Therapy

Subscription Required

Drug Reaction Data

Subscription Required

References

Subscription Required

Last Updated:07/06/2022
Copyright © 2026 VisualDx®. All rights reserved.
Chronic pancreatitis
A medical illustration showing key findings of Chronic pancreatitis (General signs and symptoms) : Abdominal pain, Nausea/vomiting, Alcohol use, Amylase elevated, Cigarette smoking, Epigastric pain, Lipase elevated, Low back pain, Steatorrhea
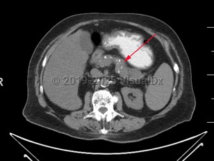
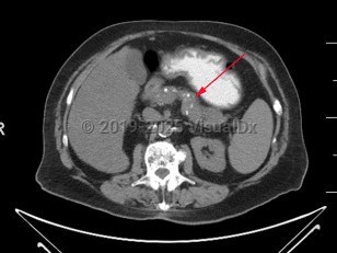
Imaging Studies image of Chronic pancreatitis - imageId=7877567. Click to open in gallery.  caption: '<span>Axial CT image demonstrates numerous coarse calcifications within the pancreas, consistent with chronic pancreatitis.</span>'
Axial CT image demonstrates numerous coarse calcifications within the pancreas, consistent with chronic pancreatitis.
Copyright © 2026 VisualDx®. All rights reserved.